Background: Primary or secondary resistance to venetoclax is frequently associated with mutational/non-mutational activation of MAPK pathways. ERK1/2 are terminal kinases in MAPK pathway and may be an appropriate target regardless of the upstream mechanisms that activate the pathway. ERK1/2 mediated phosphorylation of Drp1 promotes mitochondrial fission and MAPK-driven tumor growth in RAS driven solid cancers (Kashatus et al., Mol Cell. 2015). However, the role of Drp1 dependent mitochondrial dynamics in therapeutic resistance in AML is unexplored.

Methods: ERK1/2 was inhibited using Compound 27 (ERKi, Heightman et al., J Med Chem. 2018), an analog of ASTX029 (Munck et al., Mol Cancer Ther. 2021) in vitro and using ASTX029 in vivo. Preclinical models of venetoclax resistance and primary patient samples (n=8) were used to assess the synergy of concomitant Bcl2 and ERK1/2 inhibition (ERKi). In addition, a comprehensive analysis of alteration of signaling pathways, apoptotic signatures and DNA damage responses in response to ERKi+/-venetoclax were analyzed by mass cytometry based proteomic analysis (CyTOF) and immunoblotting. The potential clinical relevance of ERK1/2 inhibition to overcome venetoclax resistance was confirmed in a PDX model of AML (established from an AML patient who relapsed after venetoclax/decitabine treatment). Mitochondrial images were acquired using super-resolution imaging with OMX-Blaze followed by quantification with Imaris.

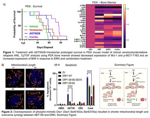
Results : We previously reported the synergy of ERK1/2 inhibition using Compound 27 with venetoclax at inducing apoptosis in RAS mutated and/or venetoclax resistant AML cells including venetoclax resistant isogenic lines (Sharma et al., Blood 140; Supplement 1, 2022). Venetoclax+ERKi depleted leukemia progenitor cells in primary AML samples (CI:0.03-0.23) and impaired clonogenic growth of NRAS mutant PDX cells. In a PDX mouse model of post venetoclax/decitabine-relapsed AML, ASTX029+venetoclax treatment improved survival compared to vehicle (median survival 76.5 days vs. 50 days, p=0.0006) and venetoclax alone (median survival 76.5 days vs. 51.5 days, p=0.0065) (Figure 1) with corresponding reduction in leukemia burden in bone marrow (p<0.0001) and spleen (p<0.0001). CyTOF analysis using PDX bone marrow showed decreased expression of Mcl-1 and pMcl-1-T163 and an increased expression of BIM in response to ERKi+/-venetoclax (Figure 1).

To maintain stemness in AML, mitochondrial ROS mitigation and Drp1-mediated mitochondrial fission are crucial (Schimmer et al., Cell Stem Cell. 2018). The inhibition of ERK1/2 resulted in decreased pDrp1-Ser616, along with an increase in mitochondrial length (p<0.001) suggesting impaired mitochondrial fission. This was accompanied by a decrease in mitochondrial membrane potential (p<0.0001) and an increase in mitochondrial ROS (p<0.0001). Overexpression (OE) of a phospho-mimetic i.e. Drp1-Ser616Glu-Ser637Ala led to shorter mitochondrial length (Figure 2), suggesting enhanced fission, a distinct metabolic phenotype with decreased ROS production and decreased mitochondrial depolarization with venetoclax+/- ERKi. Finally, Drp1 phospho-mimetic OE reversed apoptosis induction by venetoclax +/- ERKi (Figure 2) as compared to the wild-type and phospho-null (Ser616Ala) Drp1 (p<0.001) expressing cells, supporting the role of mitochondrial fission in resistance to venetoclax.

Conclusion: The increased mitochondrial fission driven by ERK1/2 mediated phosphorylation of Drp1 contributes to venetoclax resistance in AML and inhibiting ERK1/2/Drp1 axis overcomes resistance to venetoclax by inhibiting mitochondrial fission (Figure 2). These data provide a strong rationale for the combination of ERK1/2 and Bcl-2 inhibitors in the treatment of AML.

Munck:Astex Pharmaceuticals: Current Employment. Dao:Astex Pharmaceuticals, Inc., Pleasanton, CA, United States: Ended employment in the past 24 months. Sims:Astex Pharmaceuticals: Current Employment. Carter:PinotBio: Research Funding; Syndax: Research Funding; PMV: Research Funding; Revolution Medicines: Research Funding. Battula:Inspirna, Inc.: Research Funding; Fate Therapeutics: Research Funding; CytoMed Therapuetics: Research Funding; Y-mAbs Therapeutics: Research Funding; Daiichi Sankyo: Research Funding; Nektar Therapeutics: Research Funding; Tolero Pharmaceuticals: Research Funding. Andreeff:Kintor Pharmaceutical: Research Funding; PMV: Research Funding. Borthakur:Pacylex, Novartis, Cytomx, Bio Ascend:: Membership on an entity's Board of Directors or advisory committees; Catamaran Bio, Abbvie, PPD Development, Protagonist Therapeutics, Janssen: Consultancy; Astex Pharmaceuticals, Ryvu, PTC Therapeutics: Research Funding.

This content is only available as a PDF.
Sign in via your Institution